Tempus AI's Heart Scan Update Gets FDA Green Light!

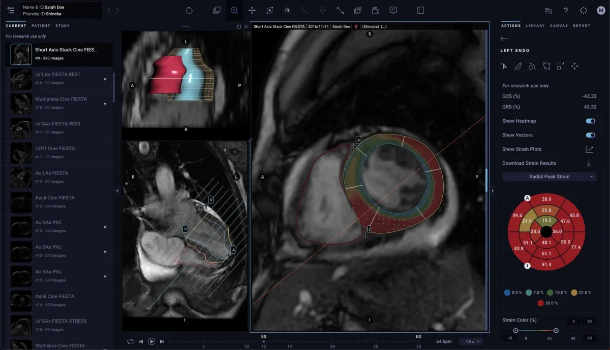
Tempus AI's FDA-cleared Pixel update uses AI to analyze heart MRI scans, generating detailed tissue maps to detect hidden issues like fibrosis, helping doctors provide more precise, personalized care.

Tempus AI's Heart Scan Update Gets FDA Green Light!
Credit: Tempus AI
Already have an account? Sign in.