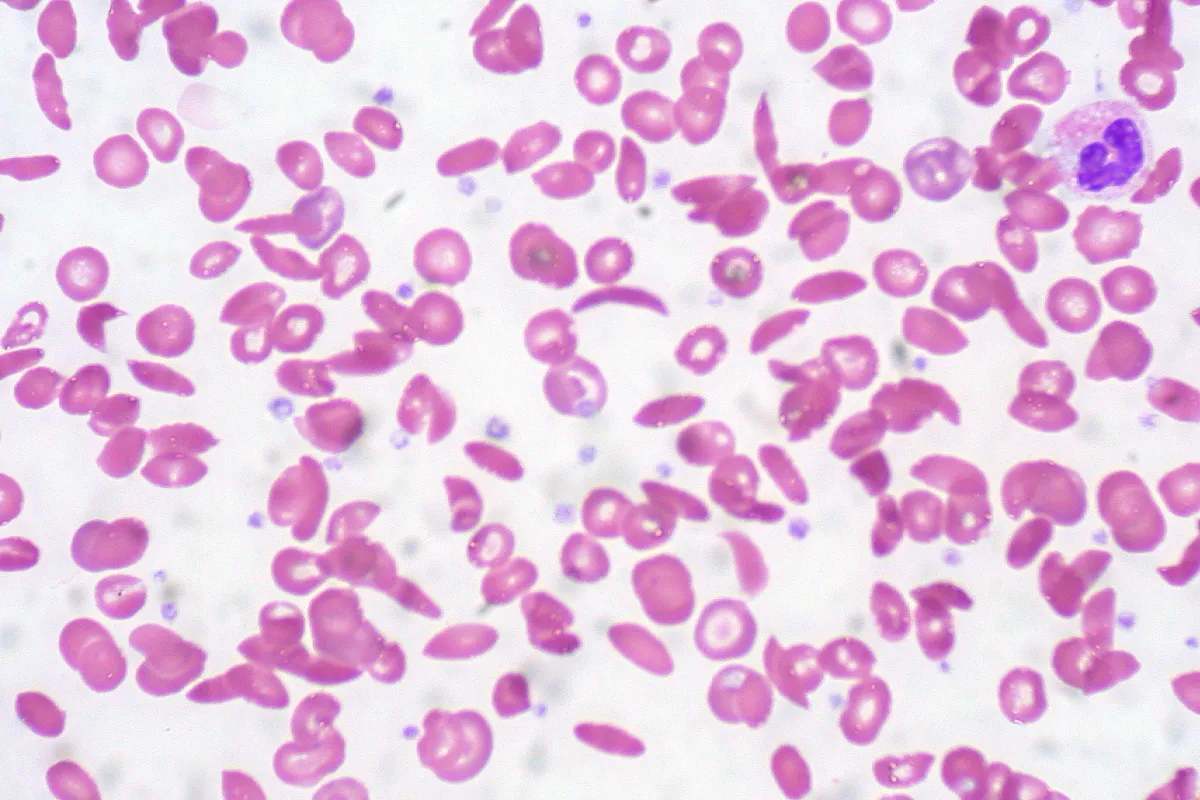
Higher Dose Sickle Cell Pill Shows Improved Results, But Experts Urge Caution
Fulcrum's (FULC) experimental oral treatment for sickle cell disease demonstrates stronger fetal hemoglobin increases at 20mg dose, though researchers emphasize it's not a cure for the genetic disorder.